|
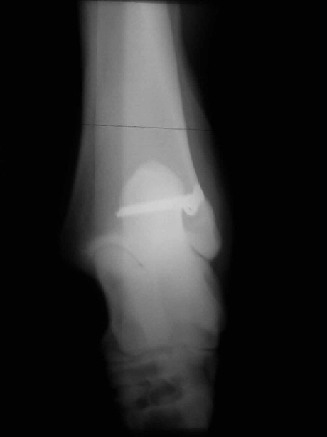
Luxation der Beugesehne (Achillessehne) vom Fersenbein
Abgleitsperre mittels Spongiosaschrauben
|
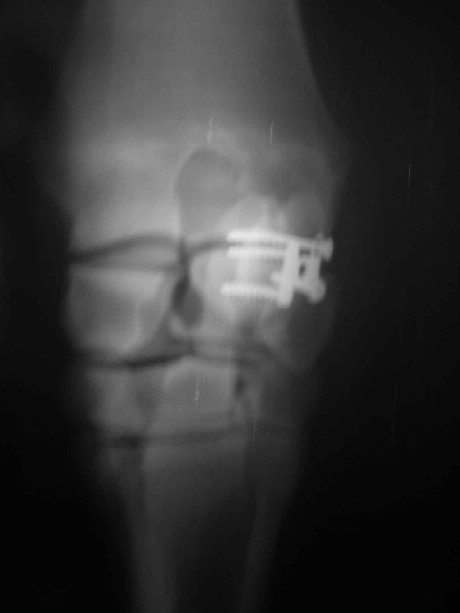
Erbsenbeinfraktur (Os accessorium)
Plattenverschraubung (cervikale Fusionsplatte aus Humanmedizin
zum Stabilisieren von Halswirbeln)
|
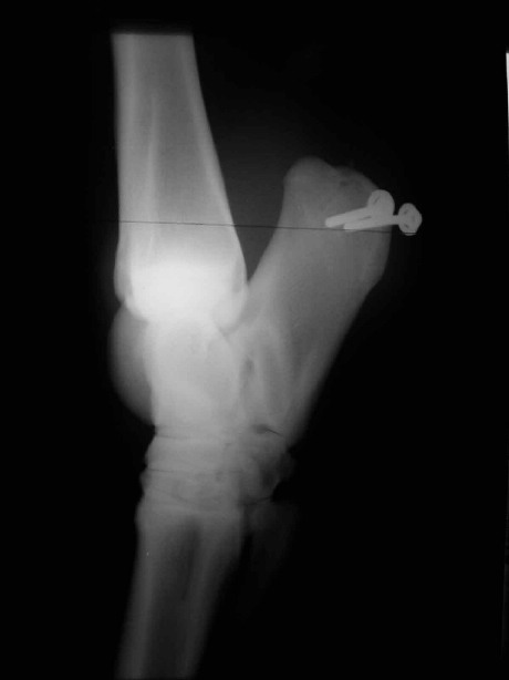
Griffelbeinfraktur
Entfernung der Splitter und Stabilisierung des Gelenksbeteiligten
Teiles mit Zugschraube
|
Tumor (Fibrosarkom, ulcerierend)
|
Oberarm-Trümmerfraktur
Marknagelung
|