Beckenfaktur

Plattenrekonstruktion

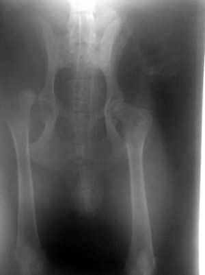
Hüftgelenksluxation

Bohrdraht-Fixation

Elle-Speichen-Fraktur

paraossäre Klammer-Cerclage-Stabilisierung

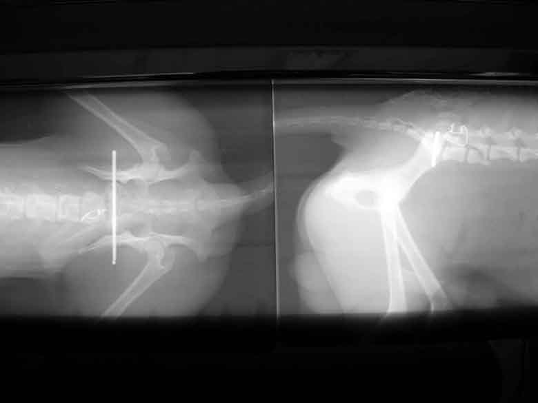
Hüftgelenksluxation

Toggle Pin - Anker - Fixation

Oberarm-Trümmerfraktur

Marknagelung

 

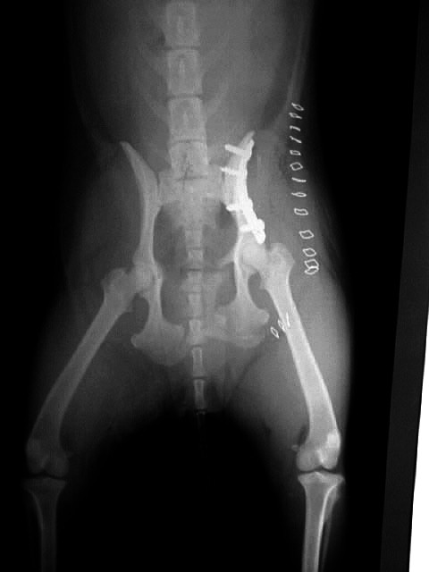
Lendenwirbelfraktur L6

Fixation der Wirbelsäule mittels Querverbolzung durch beide Darmbeinflügel und Kreuzbein,

Drahtcerclage zwischen L6 und L7